Dental Care – Makes your pet feel better, not just look and smell better.
Dental disease is an extremely important condition that affects the quality and longevity of most pets’ lives. Dental disease affects not only teeth; it can cause sores in the mouth and provide a potential source of infection to important organs such as the heart, liver and kidneys.
Dental disease causes pain and discomfort. Pets instinctively hide pain, so often we don’t realize the extent of their dental disease and the discomfort it is causing them. Signs of mouth pain include increased or excessive drooling, decreased appetite, slow eating, face rubbing, and decreased interest in chewing on toys or treats.
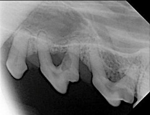
We are very excited to announce our Digital Dental Xray machine. We now have a wonderful way to complete our comprehensive dental care for our pets.
We can’t treat what we can’t see, but your pet can certainly feel when something is wrong!
We can assess all the teeth in the mouth, looking at the roots and the bone surrounding the tooth to see if more treatment is needed.
We are sure your pets will appreciate it.
February Is National Pet Dental Health Month 10% Off Dental Cleanings
Remember – Dental cleaning doesn’t just make your pet look and smell better! It makes your pet FEEL better.
AVMA.org – February Pet Dental Health Month
Before

After

Before

After

What Causes Dental Disease
Plaque naturally forms on the teeth. If plaque is not removed regularly through good preventative care, mineral salts in food bind to the plaque to form hard calculus. The calculus is irritating to the gum tissue, and it changes the pH of the mouth, allowing bacteria to survive below the gum line. By-products of the bacteria eat away tooth support structures. If your pets have bad breath, it is most often caused by the bacterial build-up on their teeth. Even if the teeth look fine to you, bad breath can be a sign that bacteria is growing under the gum line where you can’t see.
These are the four stages of periodontal disease:
- Stage 1- Gingivitis
- Stage 2- Early Periodontitis-less than 25% support loss
- Stage 3- Established Periodontitis- between 25-50% support loss
- Stage 4- Advanced Periodontitis- greater than 50% support loss
Below is a link related to dental health and disease.
Below is a link to a list of dental products approved by the Veterinary Oral Health Council for dogs and cats.
Ready To Become Part Of The Family At Green Valley?
Just give us a call to schedule an appointment!